Vijesti

Veoma zahtjevne interventne kardiološke procedure uspješno izvedene u angio sali bijeljinske bolnice – Pacijenti potvrđuju kvalitet liječenja

Objavljeno 02.01.2026.
News cover image

U angio sali JZU Bolnica „Sveti Vračevi“ Bijeljina protekle sedmice izveden je niz izuzetno složenih i visokorizičnih procedura iz oblasti interventne kardiologije, koje se rade u malom broju zdravstvenih ustanova u regionu.

Sve intervencije je izveo tim interventnih kardiologa bijeljinske bolnice sa saradnicima iz Instituta za kardiovaskularne bolesti Dedinje, Kliničkog centra Niš, Instituta za kardiovaskularne bolesti Vojvodine i kolega iz Tuzle.

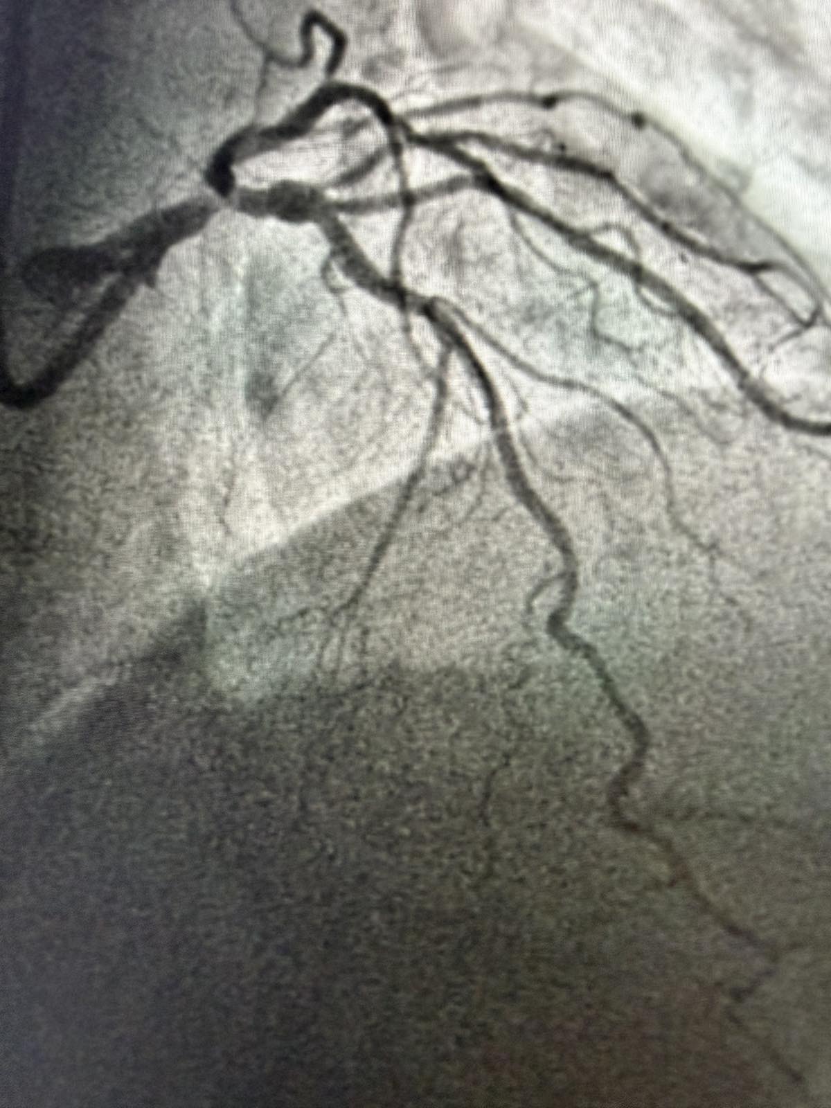
 Jedna od najspecifičnijih i najrizičnijih procedura izvedenih ovih dana je bila dilatacija i ugradnja stenta u karotidnu arteriju koja je prvi put urađena u bijeljinskoj bolnici kod pacijenta muške dobi starosti 62 godine iz Dvorova kod Bijeljine.

„Pacijent se prezentovao tako što je izgubio svijest i tom prilikom je zadobio kontuzione povrede grudnog koša i naprsnuće rebara. Tokom kliničke evaluacije dijagnostikovano mu je značajno suženje desne karotidne arterije, 80 odsto u dužem segmentu, što je ozbiljno ugrožavalo dotok krvi i kiseonika u mozak i predstavljalo visok rizik za nastanak moždanog udara. Takve procedure se rješavaju ili hirurškim putem gdje se otvara krvni sud i iz krvnog suda se odstranjuju masne naslage ili se radi ugradnja stenta, ukoliko položaj tih suženja dozvoljava. Nakon detaljne dijagnostike i konzilijarne procjene, odlučeno je da se pacijent liječi kateterskim, interventnim putem, odnosno ugradnjom stenta u karotidnu arteriju,  zahvat koji zahtijeva izuzetnu preciznost i poštovanje svih koraka tokom ugradnje stenta zbog visokog rizika od nastanka periproceduralnog moždanov udara“, izjavio je dr Aleksandar Janjičić, interventni kardiolog, načelnik Odjeljenja za internističke grane bijeljinske bolnice. 

 U ovom zahvatu je učestvovao i dugogodišnji saradnik bijeljinske bolnice, prof. dr Dragan Sagić, interventni radiolog sa Instituta za kardiovaskularne bolesti Dedinje.

„Zbog toga što su ove procedure posebno osjetljive jer svaka nepredviđena komplikacija direktno utiče na moždanu cirkulaciju, tokom zahvata se koriste specijalni zaštitni filteri koji sprečavaju da eventualni embolusi dospiju u mozak. Zahvat je uspešno izveden, a prognoza nakon ovakvih intervencija je veoma dobra, oporavak je brz, zadržavanje u bolnici kratko, uz nastavak terapije i redovne kontrole. Posebno je značajno što se ovakve procedure sada mogu izvoditi u Bijeljini, što je veliki benefit za pacijente sa ovog područja”, izjavio je profesor Sagić.

 Pacijent S.Š. nije krio zadovoljstvo:”Imao sam maksimalno povjerenje u ljekare. Nisam imao straha. Prezadovoljan sam i profesorom Sagićem i dr Janjičićem. Ovo mi je bila ozbiljna opomena da više vodim računa o svom zdravlju. Preporučio bih svima da se na vrijeme liječe i da imaju maksimalno povjerenje u naše ljekare”.

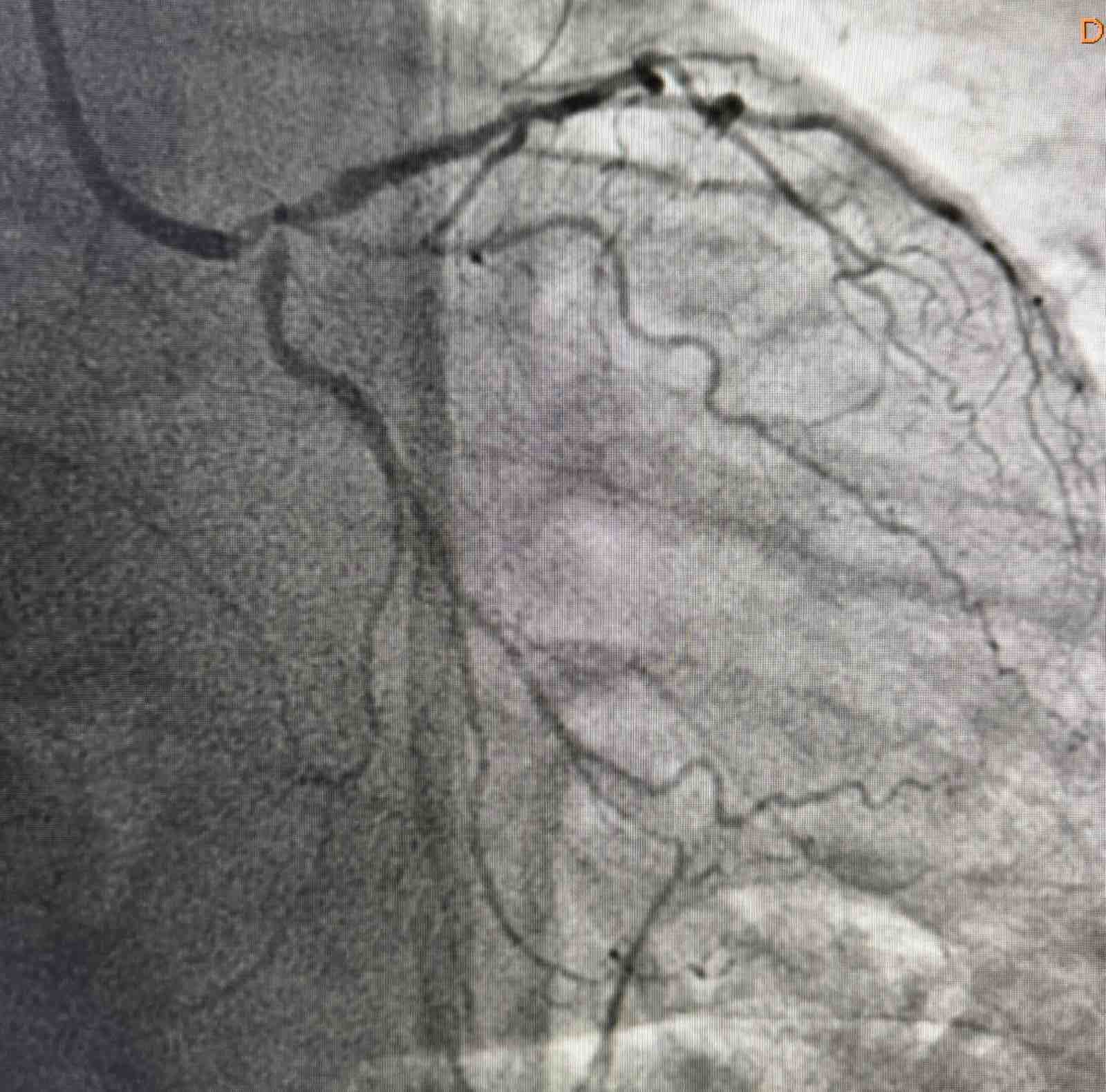
 Tokom dva dana u angio sali izvedene su i izuzetno složene intervencije na koronarnim arterijama srca, uključujući perkutane intervencije na hronično - potpuno zapušenim krvnim sudovima srca i intervencije na tzv. glavnom stablu (left main) koja je glavna artrija srca i čije liječenje takođe spada u veoma rizične zahvate u interventnoj kardiologiji.

 Složene procedure na koronarnim krvnim sudovima srca izveo je tim ljekara: dr Aleksandar Janjičić, interventni kardiolog, načelnik Odjeljenja za internističke grane Bolnice u Bijeljini, uz asistenciju dr Nenada Božinovića, interventnog kardiologa iz Kliničkog centra u Nišu i stalnog člana evropskog CTO kluba, dr Miloša Trajkovića, kardiologa iz Instituta za kardiovaskularne bolesti Vojvodine i dr Sameda Đedovića, kardiologa, magistra medicinskih nauka, šefa Odjeljenja kardiologije u "Medical Institute Bayer" iz Tuzle.

 Dr Nenad Božinović je potvrdio da angio sala bijeljinske bolnice posjeduje svu potrebnu opremu za izvođenje i najsloženijih interventnih procedura.

„Zadovoljan sam timom koji je stručno obučen za izvođenje teških i kompleksnih procedura i bilo mi je zadovoljstvo da, kao proktor za jugoistočnu Evropu ispred evropskog CTO kluba, na poziv dođem u Bijeljinu i učestvujem u izvođenju nekoliko izuzetno zahtjevnih procedura“, izjavio je Božinović. 

Kod pacijenta D.B iz Bratunca, koji je prije dvije godine prebolio infarkt i imao hroničnu potpunu zapušenost jedne arterije, urađena je perkutana koronarna intervencija kojom je arterija u potpunosti otvorena. Iako ove procedure imaju niži procenat uspjeha i zahtijevaju veliko iskustvo operatera, uspješno je izvedena. Dan nakon intervencije pacijent dobrog opšteg stanja otpušta se na kućno liječenje.

„U potpunosti sam zadovoljan bijeljinskim kardiolozima. Radio sam dugo u zdravstvu i znam koliko je to zahtjevan i odgovoran posao. Ovaj tim kardiologa sa dr Janjičićem na čelu je vrijedan svakog pomena. Hvala im na svemu. Idem kući zadovoljan. “, rekao je pacijent D.B prilikom otpusta iz bolnice.

 Još jedan slučaj koji izdvajamo kao posebno složen je bio kod pacijenta O.M (81), kod kojeg je dijagnostikovana teška trosudovna koronarna bolest.

 „Pacijent je imao simptome angine pectoris. Nakon urađene koronarografije verifikovana je teška trosudovna koronarna bolest, gdje su bolesne bile desna koronarna arterija, dok je na lijevoj strani kritično mjesto bilo na glavnom stablu  odakle ide račvanje u dvije grane. Takvi pacijenti uglavnom završavaju na kardiohirurškom konzilijumu i na operaciji bajpasevima. Međutim, odluka konzilijuma u Banjaluci je bila da se, zbog godina života pacijenta,  radi perkutana intervencija na desnoj i lijevoj koronarnoj arteriji uključujući glavno stablo.Takve procedure zahtijevaju da se rade sa kontrolom imidžinga, savremene intravaskularne dijagnostike (IVUS), što smo mi i uradili. To dodatno povećava bezbijednost i preciznost zahvata. Procedura je trajala svega 45 minuta, a pacijent je već narednog dana otpušten kući“, izjavio je dr Janjičić. 

 Pacijent O.M.  kaže da je prezadovoljan posebno što je izbjegao operaciju bajpasa.

„Tražio sam da li postoji ikakvo drugo rješenje, osim ugradnje bajpasa. Plašio sam se da u ovim godinama ja tu operaciju neću moći izdržati. Hvala dragim doktorima na stručnosti koju su pokazali. Podarili su mi još godina života“, izjavio je Ostoja nakon izlaska iz angio sale.

 Tim interventnih kardiologa JZU Bolnica „Sveti Vračevi“ Bijeljina je od 2020. godine izveo više od 100 intervencija na glavnom stablu (left main).

Uvođenje novih zahvata u interventnoj kardiologiji  ne znače samo napredak struke, već i konkretnu korist za pacijente, koji danas mogu dobiti vrhunsku uslugu liječenja ozbiljnih kardiovaskularnih oboljenja u svom gradu, uz brži oporavak i bolji kvalitet života.